Erleben Sie, was die Invisalign® Behandlung erreichen kann.
Wählen Sie die verschiedenen Falltypen und wechseln Sie zwischen „Vorher“ und „Nachher“.
Bei Klasse II
Lückenstand
kieferorthopädische Begradigung vor der restaurativen Behandlung
Offener Biss
Engstand und Schmale Kieferbögen
Mittelliniendiskrepanz
Bei Klasse II
Lückenstand
kieferorthopädische Begradigung vor der restaurativen Behandlung
Offener Biss
Engstand und Schmale Kieferbögen
Mittelliniendiskrepanz
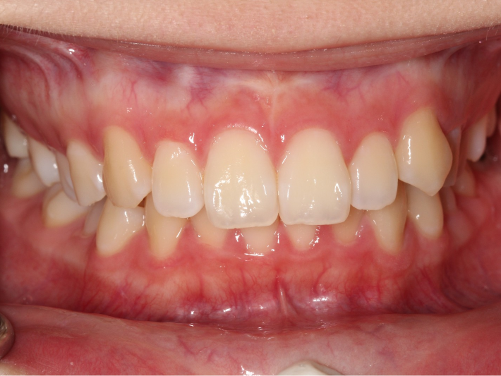
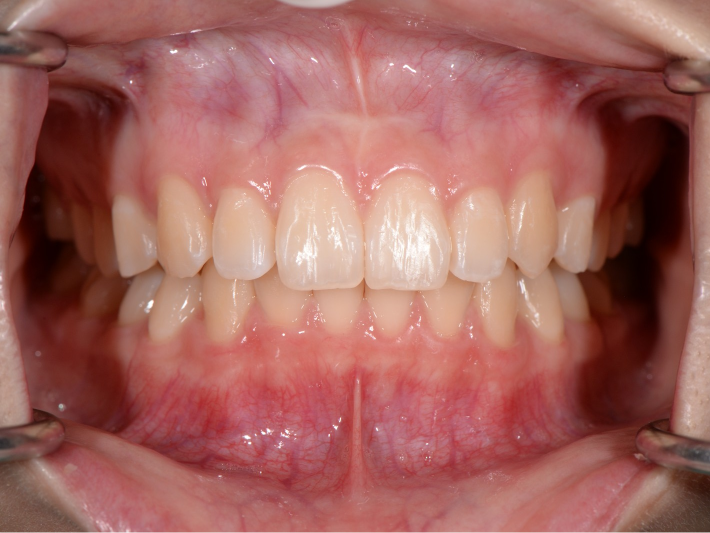
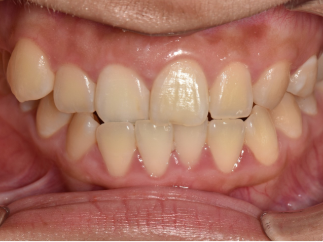
Bei Klasse II




Bei Klasse II – oder „Overbite“ (Überbiss) – handelt es sich um eine Fehlstellung, bei der der mesiobukkale Höcker des ersten Oberkiefermolaren mesial zur mesiobukkalen Furche des ersten Unterkiefermolaren steht, anstatt mit ihr in einer Linie zu liegen. Dadurch wird die okklusale Beziehung zwischen den beiden Zahnbögen beeinträchtigt.
Patientendaten: Alter: k. A.
Geschlecht: weiblich
Invisalign Behandlungsoption: Invisalign Go System
Gesamtbehandlungsdauer:
4 Monate
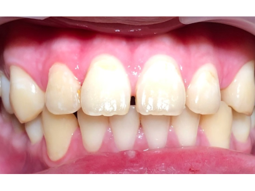
Lückenstand




Lückenstand – oder „Zahnlücken“ – bezeichnet eine Situation, in der der Abstand zwischen benachbarten Zähnen im Zahnbogen vergrößert ist.
Patientendaten: Alter: k. A.
Geschlecht: männlich
Invisalign Behandlungsoption: Invisalign Go System
Gesamtbehandlungsdauer:
10 Monate
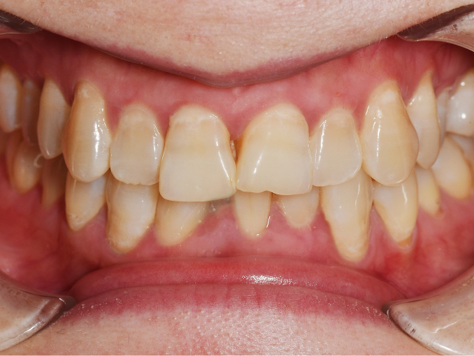
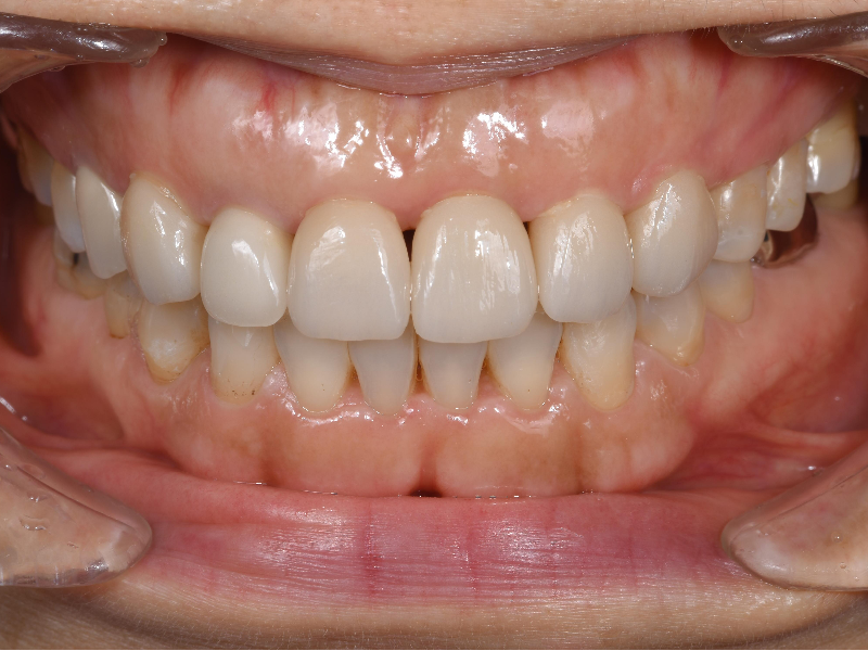
kieferorthopädische Begradigung vor der restaurativen Behandlung




Eine kieferorthopädische Begradigung vor der restaurativen Behandlung kann dazu beitragen, natürliche Zahnsubstanz zu erhalten, da sich die Präparation auf den Zahnschmelz beschränken lässt, was die Langzeitstabilität der Restaurationen begünstigt.
Patientendaten: Alter: k. A.
Geschlecht: weiblich
Invisalign Behandlungsoption: Invisalign Go System
Gesamtbehandlungsdauer: 12 Monate
Offener Biss




Beim offenen Biss handelt es sich um eine Fehlstellung, bei der in zentrischer Okklusion keine vertikale Überlappung der Frontzähne vorliegt. Ein offener Biss kann auf die Frontzähne beschränkt sein oder auch einen oder mehrere Seitenzähne einschließen.
Patientendaten: Alter: k. A.
Geschlecht: weiblich
Invisalign Behandlungsoption: Invisalign Go System
Gesamtbehandlungsdauer:
6 Monate
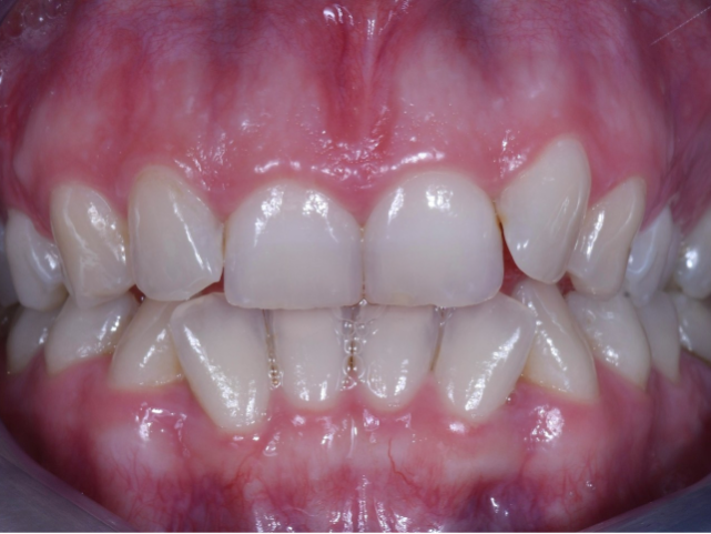
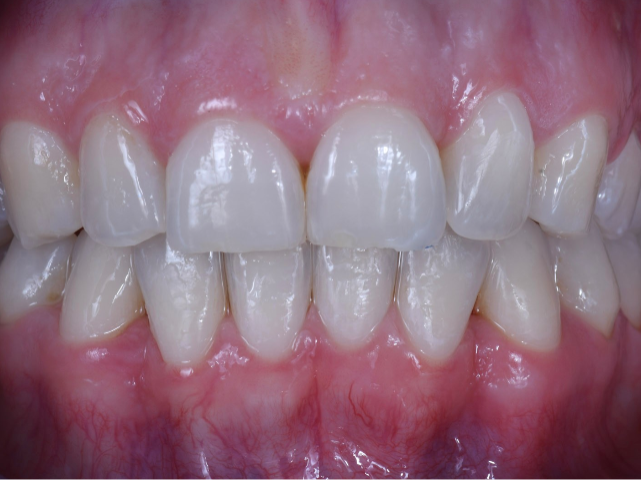
Engstand und Schmale Kieferbögen




Engstand
Bei Engstand handelt es sich um eine Fehlstellung, bei der eine Diskrepanz zwischen Zahngröße und dem im Zahnbogen verfügbaren Platz besteht.
Schmale Kieferbögen
Bei schmalen Kieferbögen ist die transversale Breite der maxillären und/oder mandibulären Zahnbögen zu gering, um eine regelrechte Ausrichtung der Zähne und einen guten okklusalen Kontakt zu ermöglichen.
Patientendaten: Alter: k. A.
Geschlecht: weiblich
Invisalign Behandlungsoption: Invisalign Go System
Gesamtbehandlungsdauer:
8 Monate
Mittelliniendiskrepanz




Die Mittelliniendiskrepanz bezeichnet eine Abweichung der sagittalen Mittellinie der Ober- und/oder Unterkieferzahnbögen sowie gegebenenfalls deren Abweichung von der fazialen Mittellinie.
Patientendaten:
Alter: k. A.
Geschlecht: weiblich
Invisalign Behandlungsoption: Invisalign Go System
Gesamtbehandlungsdauer:
15 Monate
Fordern Sie Ihre Fallstudien an.
Bitte füllen Sie das untenstehende Formular aus, um Ihre Fallstudien zu erhalten. Wir senden Ihnen den Download-Link an Ihre E-Mail-Adresse.
Mit * gekennzeichnete Felder sind Pflichtfelder.
Congratulations!
Der Weg zu minimalinvasiven Behandlungen.
Transparente Aligner sind nicht nur eine wirksame Behandlung für Malokklusionen, sondern auch eine ideale Möglichkeit, minimal-invasive Versorgungen in kieferorthopädisch-restaurative Workflows einzubinden.
Anteil der Zahnärzte, die die Invisalign Behandlung als prärestaurative Maßnahme bevorzugen, verglichen mit einer Zahnpräparation durch Beschleifen oder Abtragen für die folgenden Versorgungen:









