Erleben Sie, was die Invisalign® Behandlung erreichen kann.
Wählen Sie die verschiedenen Falltypen und wechseln Sie zwischen „Vorher“ und „Nachher“.
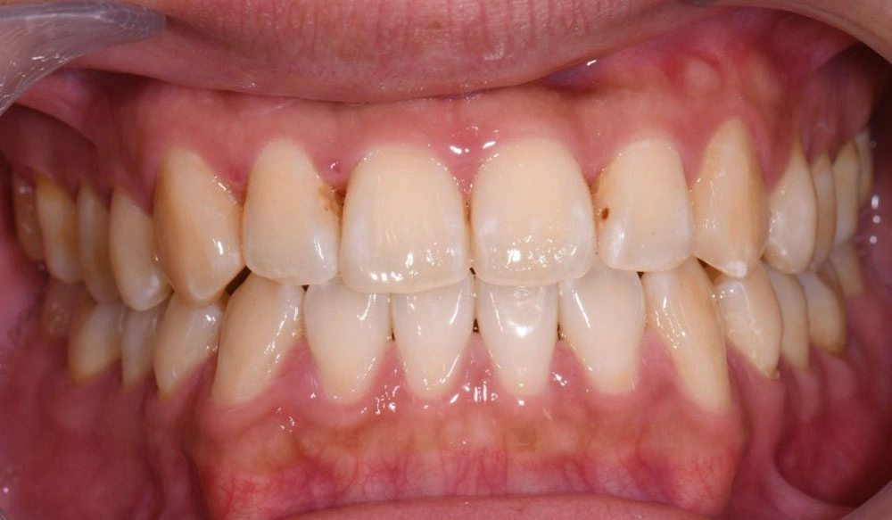
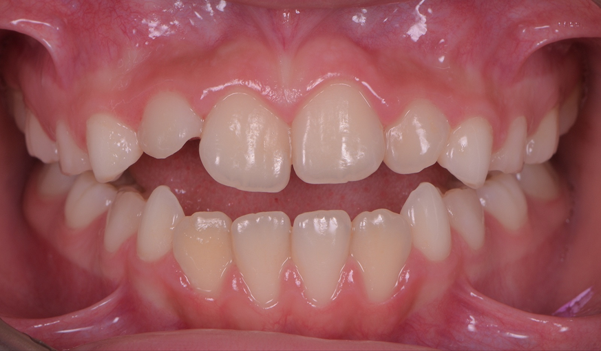
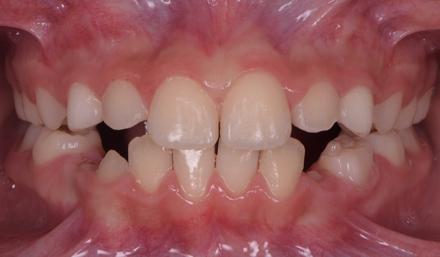
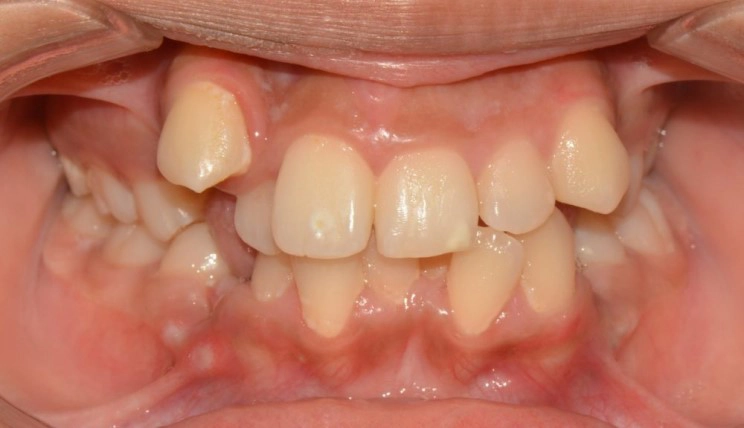
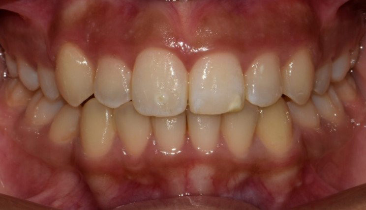
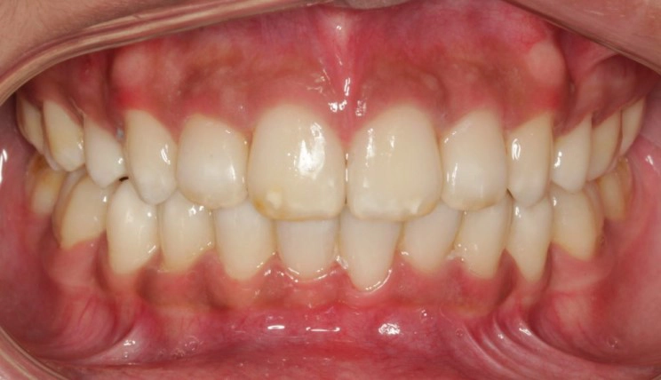
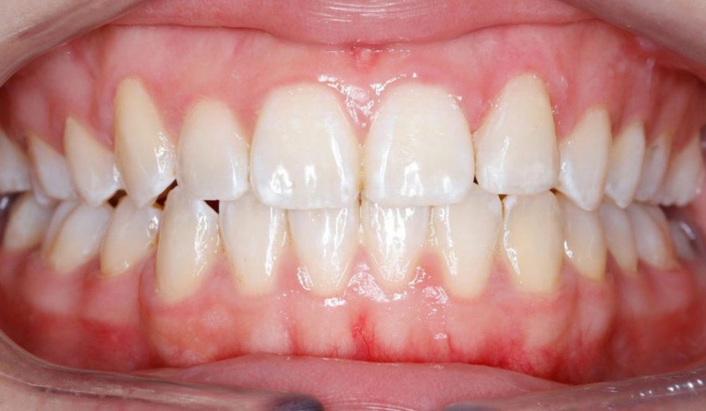
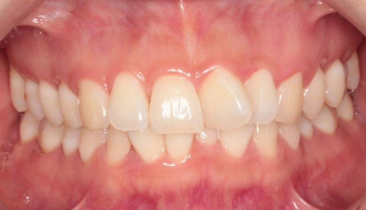
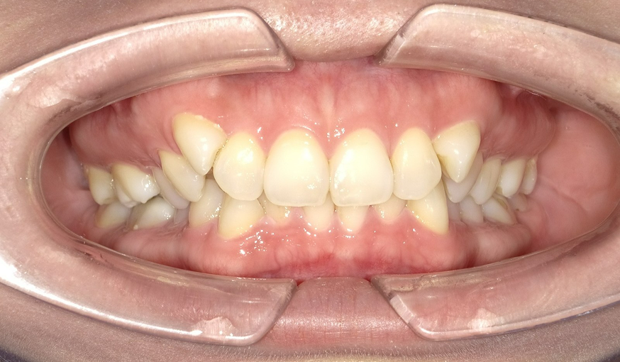
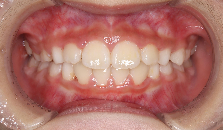
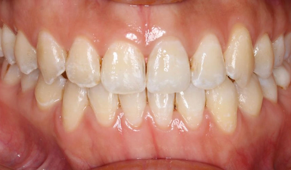
Klasse II – oder „Overbite“ (Überbiss)
Klasse III Fehlstellung (Unterbiss)
Kreuzbiss im Frontzahnbereich
Lückenstand oder „Zahnlücke“
Offener Biss
Engstand
Tiefbiss
Extraktion
Mandibuläre Protrusion
Mittelliniendiskrepanz
Schmale Kieferbögen
Interzeptive Behandlung
Kreuzbiss im Seitenzahnbereich
Präoperative Behandlung
Kieferorthopädisch-restaurative Behandlungsplanungsplattform
Klasse II – oder „Overbite“ (Überbiss)
Klasse III Fehlstellung (Unterbiss)
Kreuzbiss im Frontzahnbereich
Lückenstand oder „Zahnlücke“
Offener Biss
Engstand
Tiefbiss
Extraktion
Mandibuläre Protrusion
Mittelliniendiskrepanz
Schmale Kieferbögen
Interzeptive Behandlung
Kreuzbiss im Seitenzahnbereich
Präoperative Behandlung
Kieferorthopädisch-restaurative Behandlungsplanungsplattform
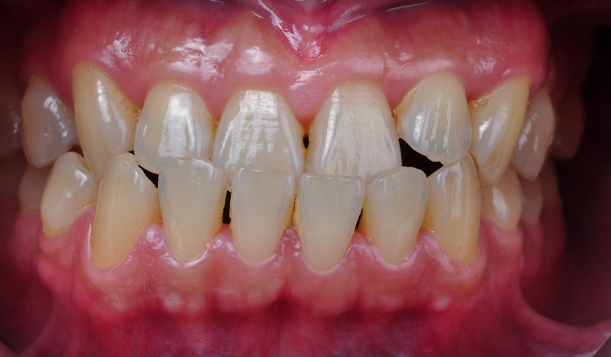
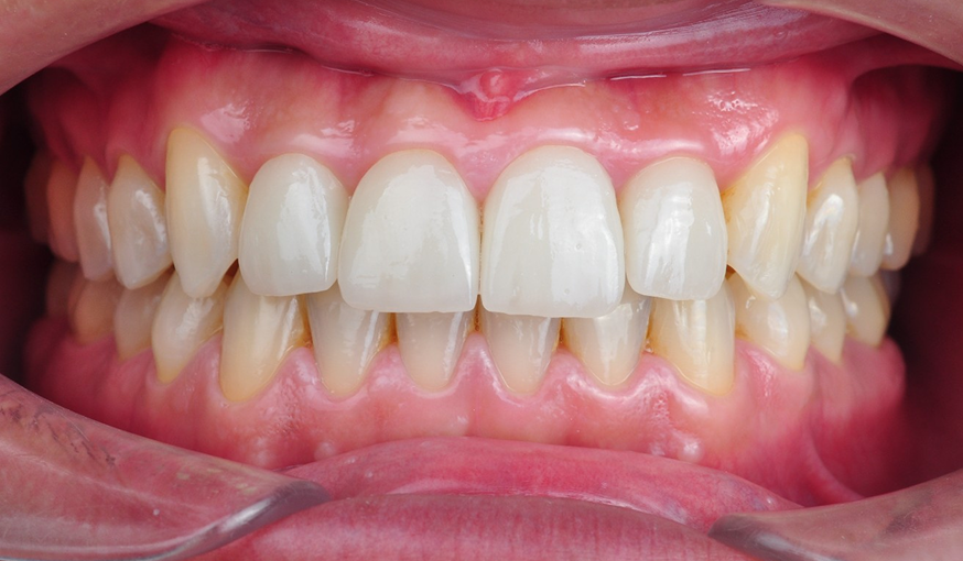
Klasse II – oder „Overbite“ (Überbiss)




Bei Klasse II – oder „Overbite“ (Überbiss) – handelt es sich um eine Fehlstellung, bei der der mesiobukkale Höcker des ersten Oberkiefermolaren mesial zur mesiobukkalen Furche des ersten Unterkiefermolaren steht, anstatt mit ihr in einer Linie zu liegen. Dadurch wird die okklusale Beziehung zwischen den beiden Zahnbögen beeinträchtigt.
Patienteninformationen:
Alter: 24
Geschlecht: weiblich
Invisalign Behandlungsoption: Invisalign System Comprehensive
Gesamtbehandlungsdauer:
21 Monate
Klasse III Fehlstellung (Unterbiss)




Bei einer Klasse III Fehlstellung, auch als Unterbiss bezeichnet, steht der mesiobukkale Höcker des ersten Oberkiefermolaren distal zur mesiobukkalen Furche des ersten Unterkiefermolaren, anstatt mit dieser zu fluchten, wodurch die okklusale Beziehung zwischen Ober- und Unterkiefer beeinträchtigt ist.
Patienteninformationen:
Alter: 27
Geschlecht: weiblich
Invisalign Behandlungsoption: Invisalign System Comprehensive
Gesamtbehandlungsdauer:
28 Monate
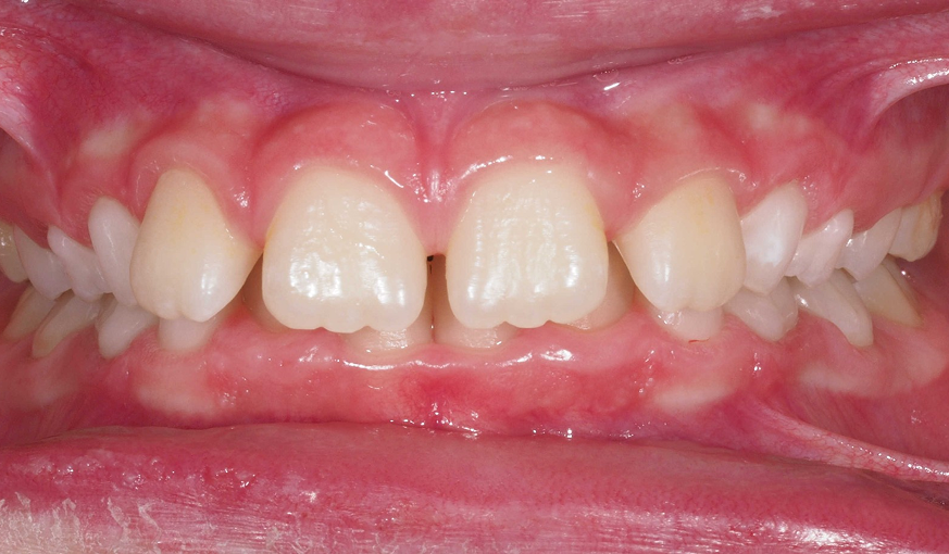
Kreuzbiss im Frontzahnbereich




Der Kreuzbiss im Frontzahnbereich bezeichnet eine abnorme labiolinguale Beziehung zwischen einem oder mehreren oberen und unteren Frontzähnen, bei der die oberen Zähne lingual zu den unteren Zähnen stehen.
Patienteninformationen:
Alter: k. A.
Geschlecht: weiblich
Invisalign Behandlungsoption: Invisalign System First
Gesamtbehandlungsdauer:
11 Monate
Lückenstand oder „Zahnlücke“




Lückenstand oder „Zahnlücke“ bezeichnet eine Situation, in der die Abstände zwischen benachbarten Zähnen eines Zahnbogens vergrößert sind.
Patienteninformationen:
Alter: k. A.
Geschlecht: weiblich
Invisalign Behandlungsoption: Invisalign System First
Gesamtbehandlungsdauer:
10 Monate
Offener Biss




Beim offenen Biss handelt es sich um eine Fehlstellung, bei der in zentrischer Okklusion keine vertikale Überlappung der Frontzähne vorliegt. Ein offener Biss kann auf die Frontzähne beschränkt sein oder auch einen oder mehrere Seitenzähne einschließen.
Patienteninformationen:
Alter: k. A.
Geschlecht: weiblich
Invisalign Behandlungsoption: Invisalign System First
Gesamtbehandlungsdauer:
13 Monate
Engstand




Engstand beschreibt eine Diskrepanz zwischen der Größe der Zähne und dem verfügbaren Platz im Zahnbogen, sodass die Zähne nicht regelgerecht ausgerichtet werden können.
Patienteninformationen:
Alter: 17
Geschlecht: weiblich
Invisalign Behandlungsoption: Invisalign System Comprehensive
Gesamtbehandlungsdauer:
29 Monate
Tiefbiss




Tiefbiss bezeichnet eine Fehlstellung, bei der die vertikale Überlappung der Frontzähne in zentrischer Okklusion mehr als 30–40 % beträgt.
Patienteninformation:
Alter: 13
Geschlecht: männlich
Invisalign Behandlungsoption: Invisalign System Comprehensive
Gesamtbehandlungsdauer:
24 Monate
Extraktion




Extraktion bezeichnet das Entfernen eines Zahns oder mehrerer Zähne, wenn erheblicher Platz geschaffen werden muss, um die verbleibenden Zähne auszurichten und eine korrekte okklusale Beziehung herzustellen.
Patienteninformation:
Alter: 16
Geschlecht: weiblich
Invisalign Behandlungsoption: Invisalign System Comprehensive
Gesamtbehandlungsdauer:
16 Monate
Mandibuläre Protrusion




Die Invisalign® Behandlung zur mandibulären Protrusion richtet sich an heranwachsende Patienten mit retrognather Klasse-II-Malokklusion im bleibenden Gebiss oder in einem stabilen späten Wechselgebiss. Die speziellen Precision Wings sind in die Invisalign Aligner integriert.
Patienteninformationen:
Alter: k. A.
Geschlecht: weiblich
Invisalign Behandlungsoption: Invisalign System Comprehensive
Gesamtbehandlungsdauer:
30 Monate
Mittelliniendiskrepanz




Die Mittelliniendiskrepanz bezeichnet eine Abweichung der sagittalen Mittellinie der Ober- und/oder Unterkieferzahnbögen sowie gegebenenfalls deren Abweichung von der fazialen Mittellinie.
Patienteninformationen:
Alter: 28
Geschlecht: weiblich
Invisalign Behandlungsoption: Invisalign System Comprehensive
Gesamtbehandlungsdauer:
16 Monate
Schmale Kieferbögen




Bei schmalen Kieferbögen ist die transversale Breite der maxillären und/oder mandibulären Zahnbögen zu gering, um eine regelrechte Ausrichtung der Zähne und einen guten okklusalen Kontakt zu ermöglichen.
Patienteninformationen:
Alter: k. A.
Geschlecht: weiblich
Invisalign Behandlungsoption: Invisalign System Comprehensive
Gesamtbehandlungsdauer:
30 Monate
Interzeptive Behandlung




Interzeptive Behandlung bei jüngeren Patienten (6–10 Jahre alt): Wenn ein Problem unbehandelt voraussichtlich fortschreiten würde, ist eine frühzeitige Behandlung im besten Interesse des Patienten. - Greifen Sie bei sich entwickelnden Problemen frühzeitig ein, beseitigen Sie die Ursachen, lenken Sie Wachstum von Gesichts- und Kieferknochen, schaffen Sie ausreichend Raum für das künftige bleibende Gebiss.
Patienteninformationen:
Alter: k. A.
Geschlecht: männlich
Invisalign Behandlungsoption: Invisalign System First
Gesamtbehandlungsdauer:
5 Monate
Kreuzbiss im Seitenzahnbereich




Der Kreuzbiss im Seitenzahnbereich bezeichnet eine abnorme labiolinguale Beziehung zwischen einem oder mehreren oberen und unteren Seitenzähnen. Er liegt vor, wenn die oberen Zähne lingual zu den unteren stehen oder so weit bukkal positioniert sind, dass ihre linguale Fläche mit der bukkalen Fläche der unteren Zähne in Kontakt kommt.
Patienteninformationen:
Alter: 24
Geschlecht: weiblich
Invisalign Behandlungsoption: Invisalign System Comprehensive
Gesamtbehandlungsdauer:
29 Monate
Präoperative Behandlung




Präoperative Behandlung: Das Invisalign System kann in Kombination mit herkömmlichen Behandlungsansätzen direkt vor und nach einem chirurgischen Eingriff verwendet werden. Der ClinCheck Behandlungsplan wird entweder eine Zahndekompensation vor der Zahnbogenkoordination anzeigen oder die Zahnfehlstellungskorrektur basierend auf der ausgewählten Behandlungsmodalität durchführen.
Patienteninformationen:
Alter: k. A.
Geschlecht: weiblich
Invisalign Behandlungsoption: Invisalign System Comprehensive
Gesamtbehandlungsdauer:
13 Monate
Kieferorthopädisch-restaurative Behandlungsplanungsplattform




Eine gesichtsspezifische, kieferorthopädisch-restaurative Behandlungsplanungsplattform, die ein einziges digitales kieferorthopädisch-restauratives Ökosystem innerhalb Ihrer ClinCheck® Software bietet und die visuelle Behandlungsplanung von kieferorthopädischen und restaurativen Versorgungen kombiniert.
Patienteninformationen:
Alter: k. A.
Geschlecht: männlich
Invisalign Behandlungsoption: Invisalign System Comprehensive
Gesamtbehandlungsdauer:
nicht angegeben








