Invisalign gestaltet die Gaumenexpansion neu
Das klinisch bewährte1 Invisalign® Palatal Expander System ist das Ergebnis langjähriger Forschungsarbeit und verfolgt einen innovativen Ansatz zur skelettalen Expansion.


Überzeugen Sie sich selbst von den zahlreichen Vorteilen einer interzeptiven Behandlung mit dem Invisalign Palatal Expander System.
Für Sie und Ihre Patienten.
Klinisch wirksame Behandlung1
Mithilfe des Invisalign Palatal Expander Systems können Sie Ihre klinischen Ziele, eine Expansion der medianen Gaumennaht, umsetzen.
Ein einfacher, digitaler Workflow
Einfache Integrationen in Ihre Praxisabläufe nach einem unkomplizierten iTero™ Intraoralscan.
Weniger Zeit im Behandlungszimmer
Im Vergleich zu herkömmlichen Apparaturen ist das System außerdem mit weniger Komplikationen und Notfallterminen2 verbunden und kann so die Zeit im Behandlungszimmer verringern.
Ein positives Behandlungserlebnis
Die Invisalign Palatinal Expander bieten das gewünschte Ergebnis und sind dabei weniger schmerzhaft3 und unangenehm für Ihre Patienten und deren Eltern.
Klinisch wirksame Behandlung1
Mithilfe des Invisalign Palatal Expander Systems können Sie Ihre klinischen Ziele, eine Expansion der medianen Gaumennaht, umsetzen.
Ein einfacher, digitaler Workflow
Einfache Integrationen in Ihre Praxisabläufe nach einem unkomplizierten iTero™ Intraoralscan.
Weniger Zeit im Behandlungszimmer
Im Vergleich zu herkömmlichen Apparaturen ist das System außerdem mit weniger Komplikationen und Notfallterminen2 verbunden und kann so die Zeit im Behandlungszimmer verringern.
Ein positives Behandlungserlebnis
Die Invisalign Palatinal Expander bieten das gewünschte Ergebnis und sind dabei weniger schmerzhaft3 und unangenehm für Ihre Patienten und deren Eltern.
Erfahren Sie mehr über das innovative Design der Invisalign Palatal Expander.
Mit dem Invisalign Palatal Expander System ist die Behandlung für Patienten wesentlich angenehmer[4] und mit weniger Unbehagen verbunden:
Glatte linguale Oberfläche für Patientenkomfort.
Gaumenabdeckung mit individuell auf jeden Patienten abgestimmter Dicke.
Griffstückfunktion für einfaches Einsetzen und Herausnehmen


Definieren Sie für Ihre Patienten und Mitarbeiter die Behandlung in der Praxis neu.
Mit dem Invisalign Palatal Expander System werden Ihre Termine zur Übergabe und Entfernung der Expander deutlich vereinfacht.
Einsetzen des Invisalign Palatal Expander Systems
Die Invisalign Palatal Expander lassen sich ganz einfach einsetzen. Die meisten Kinder können das selbst. Auch das Herausnehmen der Invisalign Palatal Expander, z. B. zur Mundhygiene, ist überhaupt kein Problem.


Behandeln Sie entstehende Probleme frühzeitig, bevor sie sich unbehandelt mit der Zeit verschlimmern.
Der klinische Einsatzbereich des Invisalign Palatal Expander Systems auf einen Blick.
Indikationen zur Behandlung: Das System wird im Rahmen kieferorthopädischer oder orthopädischer Behandlungen zur schnellen Expansion und anschließenden Retention einer skelettal schmalen Maxilla (Oberkiefer, Zahnbogen und Zähne, Gaumen) bei Milchgebiss, Mischgebiss oder bleibendem Gebiss eingesetzt.
Patientenprofil: Heranwachsende Patienten oder Erwachsene (bei Bedarf in Verbindung mit chirurgischen Behandlungen oder anderen Eingriffen).
Anzahl der Expander und Holder: Unbegrenzt* mit einem Behandlungsablaufdatum von 18 Monaten.
Typische Behandlungsdauer: Ca. 1 Monat aktive Expansion, abhängig von der Schwere des Falls.




Das sagen Ihre Kollegen zu dieser neuen bahnbrechenden Art der Behandlung von Phase-I-Fällen.
Das Invisalign Palatal Expander System ist angenehmer und ebenso wirksam4
der befragten zertifizierten Invisalign Kieferorthopäden stimmen zu, dass sie das Invisalign Palatal Expander System Ihren Kollegen empfehlen würden5
der mit den Invisalign Palatal Expandern behandelten Patienten haben die Apparatur während der Expansionsbehandlung vorschriftsmäßig getragen.6
der befragten zertifizierten Invisalign Kieferorthopäden stimmen zu, dass Kinder, die mit dem Invisalign Palatal Expander System behandelt wurden, eine höhere Lebensqualität haben als Kinder, die mit herkömmlichen palatinalen Expandern behandelt werden4
der befragten zertifizierten Invisalign Kieferorthopäden stimmen zu, dass sie das Invisalign Palatal Expander System Ihren Kollegen empfehlen würden5
der mit den Invisalign Palatal Expandern behandelten Patienten haben die Apparatur während der Expansionsbehandlung vorschriftsmäßig getragen.6
der befragten zertifizierten Invisalign Kieferorthopäden stimmen zu, dass Kinder, die mit dem Invisalign Palatal Expander System behandelt wurden, eine höhere Lebensqualität haben als Kinder, die mit herkömmlichen palatinalen Expandern behandelt werden4
Erschließen Sie das Potenzial der Einfachheit.
Bieten Sie eine auf den Patienten zugeschnittene Behandlung zur progressiven Expansion mit vereinfachten Abläufen.
Schritt 1: Nach einem einfachen iTero Intraoralscan werden für jeden Patienten unter Berücksichtigung seiner individuellen Anatomie maßgefertigte im 3D-Druck hergestellte Expander und Holder angefertigt.
Schritt 2: Die Patienten tragen eine Reihe herausnehmbarer Expander in stufenweisen, kleinen Steigerungen.
Schritt 3: Sobald die gewünschte Expansion erreicht ist, werden die Invisalign Palatal Holder alle 2 bis 4 Wochen ersetzt, um den Gaumen zu stabilisieren.
Hinweis: Die Expander und Holder werden unter Verwendung von Attachments[8] fixiert. Diese werden an den Zähnen des Patienten angebracht, um die Apparatur sicher zu fixieren.




Nahtloser Übergang zur Invisalign First™ Behandlung.
In Kombination mit den transparenten Invisalign First™ Alignern bieten die Invisalign Palatal Expander Anwendern eine komplette Behandlungslösung zur frühzeigen Intervention, sowohl für skelettale (orthopädische) als auch für dentale (kieferorthopädische) Zahnbogenexpansionen. Erfahren Sie mehr über die Phase-I-Behandlung mit Invisalign First Alignern.




Schauen Sie sich die ausgewählten Fallstudien an.
Gemeinsam setzen wir neue Maßstäbe bei der frühzeitigen Behandlung jüngerer und heranwachsender Patienten.
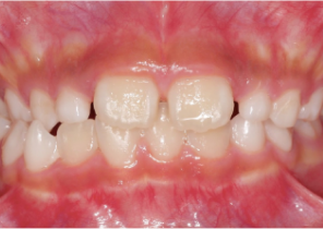
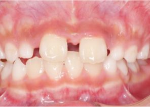
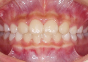
Fallbericht 1
10 Jahre, 0 Monate; 18 Stufen mit dem Invisalign® Palatal Expander System
Mit freundlicher Genehmigung von Dr. Sandra Khong Tai


Vor der Erweiterung mit dem Invisalign Palatal Expander System


Nach der Erweiterung mit dem Invisalign Palatal Expander System


Nach der Invisalign First Behandlung


Vor der Erweiterung mit dem Invisalign Palatal Expander System


Nach der Erweiterung mit dem Invisalign Palatal Expander System


Nach der Invisalign First Behandlung
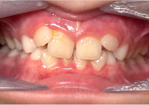
Fallbericht 2
7 Jahre 11 Monate, 24 Behandlungsstufen mit dem Invisalign® Palatal Expander System
Mit freundlicher Genehmigung von Dr. David R. Boschken


Vor der Erweiterung mit dem Invisalign Palatal Expander System


Nach der Erweiterung mit dem Invisalign Palatal Expander System


Nach der Behandlung mit dem Invisalign Palatal Expander System


Vor der Erweiterung mit dem Invisalign Palatal Expander System


Nach der Erweiterung mit dem Invisalign Palatal Expander System


Nach der Behandlung mit dem Invisalign Palatal Expander System
Häufig gestellte Fragen
Falls Sie weitere Fragen haben oder den vollständigen FAQ-Leitfaden erhalten möchten, wenden Sie sich bitte an Ihren zuständigen Gebietsleiter.
1. Was ist das Invisalign® Palatal Expander System?
Das Invisalign Palatal® Expander System (IPE) ist Aligns erste 3D-gedruckte (additiv hergestellte) kieferorthopädische Apparatur zur Gaumennahterweiterung bei jüngeren und heranwachsenden Patienten. Das System besteht aus einer Reihe ärztlich verschriebener, herausnehmbarer Invisalign® Palatal Expander und Invisalign® Palatal Holder.
2. Woraus wird das IPE hergestellt?
Invisalign Palatal Expander und Invisalign Palatal Holder sind aus Polyamid-12 gefertigt, einem Polymer, das auch Nylon 12 genannt wird.
3. Wie hoch ist der Umfang an Expansion in mm pro Tag? Habe ich die Möglichkeit, die Expansion in einer Behandlungsstufe zu verringern?
Nach Stufe 0 (passiv) ist jede Stufe auf aktive Expansion bei einem Wert von 0,25 mm Bewegung pro Behandlungsstufe ausgelegt.
Die Expander können für eine schnelle Expansion täglich gewechselt werden oder weniger oft, um eine langsame Expansion zu erreichen. Dies liegt ganz im Ermessen des Arztes.
4. Wie sehen die zahnmedizinischen Indikationen beim IPE aus?
Die zahnmedizinischen Indikationen müssen befolgt werden. Voraussetzungen für die Behandlung von Patienten:
3 stabile Zähne pro Quadrant im oberen Zahnbogen
Mindestens 4 mm Kronenhöhe
Erste bleibende Molaren (6er)
Erste Milchmolaren (Der) oder erste Prämolaren (4er)
Zweite Milchmolaren (Eer) oder zweite Prämolaren (5er)
Zweite bleibende Molaren (7er) können durchgebrochen sein, werden jedoch von der Apparatur nicht bedeckt
Eckzähne (Cer/3er) können durchgebrochen sein, werden beim IPE jedoch nicht bedeckt
2. Gegebenenfalls nicht geeignet bei:
Kurzen klinische Kronen:
Eine mangelnde Retention der Apparatur oder Probleme beim Anbringen des Attachments können bei Zähnen mit kurzen klinischen Kronen (< 4 mm) oder instabilen oberen ersten bleibenden Molaren, oberen zweiten Milchmolaren und oberen ersten Milchmolaren auftreten.
Zahnrestaurationen:
Eine unzureichende Retention, zu hohe Kraft auf die Zahnrestaurationen und/oder Probleme beim Anbringen des Attachments können bei Zähnen mit Edelstahlkronen oder anderen Arten von Zahnrestaurationen auftreten:
Patienten mit Edelstahlkronen können nach Ermessen des Arztes infrage kommen (beachten Sie, dass diese Zähne vom Invisalign Palatal Expander System abgedeckt werden)
Patienten mit palatinalen Befunden:
Exostose oder Gaumenspalte
Nicht anwendbar auf Behandlung:
Fehlende Zähne unter dem IPE (d. h. D/4er, E/5er und 6er)
Reines Milchgebiss (d. h. 6er noch nicht durchgebrochen)
5. Wie viele Behandlungsstufen gibt es? Werden alle auf einmal geliefert? Werden pro Behandlungsstufe 1 oder 2 Expander geliefert?
Pro Behandlungsstufe wird eine 1 Apparatur der gesamten Reihe der Invisalign Palatal Expander geliefert. Im Falle zusätzlicher Behandlungsstufen müssen die Expander über das Verschreibungsformular bestellt werden.
Die Anzahl der Behandlungsstufen wird vom Arzt bestimmt und hängt von den klinischen Behandlungszielen ab:
Die Anzahl der Expanderstufen ergibt sich aus dem gewünschten Umfang der Expansion, die im Verschreibungsformular angegeben ist. In jeder Behandlungsstufe sind 0,25 mm pro Tag vorgesehen und der größte Umfang der Expansion, den Sie bei der Verschreibung wählen können, liegt bei 12 mm. Je nach den klinischen Beobachtungen und Präferenzen kann der Arzt die Expansion jederzeit beenden und Invisalign Palatal Holder bestellen. Die Invisalign Palatal Holder müssen separat über das Verschreibungsformular bestellt werden.
Auch die Anzahl der Holder-Behandlungsstufen wird vom Arzt bestimmt. Sie richtet sich nach dem Zeitraum der Holder-Behandlung (in Wochen). Der Holder ist eine Kopie des Expanders für die letzte Behandlungsstufe und wird eingesetzt, um den Gaumen nach der aktiven Expansion zu stabilisieren. Er wird alle 2-4 Wochen ersetzt.
Die Expander und Holder werden separat versandt, da die Holder erst angefertigt werden, wenn die gewünschte Expansion erreicht ist. Der Arzt gibt dann im Verschreibungsformular an, in welcher Behandlungsstufe der Wechsel zum Holder erfolgen soll.
6. Welche Dicke weist die Apparatur bei jeder Behandlungsstufe auf? Ist sie in jeder Stufe gleich?
Die Dicke der Apparatur wird entsprechend der individuellen Anatomie des einzelnen Patienten bestimmt. Bei der Dicke des palatalen Bereichs spielt bei der Herstellung auch der Komfort eine Rolle.
7. Übt der IPE in jeder Behandlungsstufe dieselbe Kraft bzw. denselben Druck aus? Oder unterscheiden sich die Kraft und der Druck von Stufe zu Stufe?
Die Apparatur ist so konzipiert, dass sie in jeder Stufe der Behandlung dieselbe oder ähnliche transversale Kraft ausübt. Diese Kraft kann allerdings je nach Anatomie des Patienten variieren.
8. Müssen die Patienten den IPE beim Essen herausnehmen? Wenn sie damit essen können, sollten sie bestimmte Lebensmittel/Getränke vermeiden?
Patienten müssen den Expander oder Holder zum Essen oder Trinken nicht herausnehmen. Es ist jedoch empfohlen, nach jeder Mahlzeit den Mund gründlich auszuspülen.
Das Kauen von harten, klebrigen oder zuckerhaltigen Lebensmitteln (einschließlich Kaugummi) mit eingesetzter Apparatur kann die Expander/Holder und/oder die Zähne beschädigen und sollte vermieden werden. Das Trinken von zucker- oder säurehaltigen Getränken beim Tragen der Apparatur kann die Zähne des Patienten beschädigen und sollte vermieden werden.
Patienten sollten sich vor dem Einsetzen der Apparatur die Zähne mit Zahnbürste und Zahnseide reinigen. Wenn es nicht möglich ist, sich die Zähne zu putzen, können Patienten den Mund mit Wasser ausspülen und die Expander/Holder reinigen, indem sie sie unter fließendes Wasser halten.
Die Patienten sollten den Originalbeutel nicht wegwerfen, da dieser zur Aufbewahrung der verwendeten Apparaturen verwendet wird.
Hinweis: Der Arzt sollte beurteilen, ob ein bestimmter Patient die Apparatur beim Essen herausnehmen sollte (unter Berücksichtigung des Alters des Patienten und seiner Fähigkeit, die Expander/Holder herauszunehmen und wieder einzusetzen). Er sollte Patienten und beaufsichtigenden Erwachsenen raten, eine gute Mundhygiene zu pflegen und die Anweisungen für Verwendung und Pflege zu befolgen. Der Arzt sollte dem Patienten die Anweisungen für Verwendung und Pflege mitgeben. Einen Papierausdruck erhalten Sie über die Registerkarte „Kundenservice“ auf der Invisalign Doctor Site.
9. Welche Intraoralscanner kann ich verwenden?
Aufgrund der aktuellen Geschäftsverfahren akzeptiert Align Technology, Inc. derzeit nur Scans, die mit kommerziell erhältlichen digitalen iTero Intraoralscannern aufgenommen wurden (angeboten von Align Technology, Ltd.). Scans von Dritten/PVS-Abformungen werden nicht akzeptiert. Die vollständigen Anwendungshinweise finden Sie im Benutzerhandbuch für iTero Intraoralscanner.
Achten Sie bei Aufnahmen für eine Behandlung zur Gaumennahterweiterung darauf, dass die Scans die Oberflächen von Gaumen, Zahnfleisch und Kronen erfassen.
Alle digitalen Intraoralscanner der Marke iTero können mit dem Invisalign Palatal Expander System verwendet werden. Besuchen Sie bitte die iTero Webseite oder wenden Sie sich an den Kundenservice, um eine vollständige Liste der in Ihrer Region erhältlichen Intraoralscanner zu erhalten.
10. Welches Material kann ich für Attachments verwenden?
Bitte lesen Sie die IPE-Kurzanleitung, in der Sie eine Liste der Haftvermittler und Kompositen finden, die basierend auf den von Align Technology durchgeführten Scherhaftungstests empfohlen werden.
11. An welchen Zähnen werden die Attachments angebracht?
6er und Eer (alternativ, wenn die 5er ausreichend durchgebrochen sind, erhalten Sie Attachments)
12. Wie sieht es mit der Zahnabdeckung beim IPE aus/Wie viele Zähne werden vom IPE abgedeckt?
3 Zähne (Der, Eer, 6er) sind bedeckt, doch die Attachments werden an 2 Zähnen angebracht

