NEU: Das Invisalign® System zur mandibulären Protrusion mit okklusalen Blöcken
Das Invisalign System zur mandibulären Protrusion mit okklusalen Blöcken ist Aligns erstes transparentes Aligner Produkt mit integrierten soliden okklusalen Blöcken. Es wurde speziell für die Behandlung von Klasse-II-Malokklusionen entwickelt und ermöglicht gleichzeitig die Korrektur von Zahnfehlstellungen.




Erfahren Sie mehr über die neuen Behandlungsansätze für Klasse-II-Fälle


DAS INVISALIGN® SYSTEM BIETET EINEN NEUEN ANSATZ BEI DER KLASSE-II-BEHANDLUNG HERANWACHSENDER PATIENTEN
Effiziente Behandlung.
Höherer Patientenkomfort1
und bessere Therapietreue2.
Vorhersagbare Zahnbewegungen.
Das Invisalign System zur mandibulären Protrusion mit okklusalen Blöcken reduziert die Notwendigkeit mehrerer Apparaturen zur Behandlung von Klasse-II-Malokklusionen – und ermöglicht gleichzeitig die Korrektur von Zahnfehlstellungen. Es ist aus unserem proprietären SmartTrack™ Material hergestellt, das vorhersagbar und angenehmer ist als herkömmliche Apparaturen1. Dies ist wichtig, da der Patientenkomfort eine wichtige Rolle bei der Einhaltung der vorgeschriebenen Tragedauer und der Erzielung optimaler Ergebnisse spielt2.




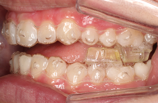
So funktionieren okklusale Blöcke
Die integrierten Blöcke der transparenten Invisalign Aligner sind auf der okklusalen Oberfläche positioniert.
Wenn der Patient in der Vorwärtsposition okkludiert, greifen die okklusalen Blöcke ineinander und schieben dadurch den Unterkiefer nach vorne und halten ihn dort.
Das System verlagert den Kiefer nach vorn, korrigiert gleichzeitig Zahnfehlstellungen und behandelt Klasse-II-Malokklusionen einschließlich stark ausgeprägter Tiefbissfälle.




Klinischer Anwendungsfall
Das Invisalign® System mit mandibulärer Protrusion und okklusalen Blöcken ist eine neuartige Behandlungsmethode zur Korrektur aller Arten von Klasse-II-Malokklusionen.
Patienten im Wachstumsschub (10–16 Jahre)
Retrognathe Klasse-II-Malokklusionen.
Starker Überbiss <7 mm
Ausschlusskriterien für Patienten:
Erste Molaren nicht vollständig durchgebrochen
Fehlen eines zweiten oberen Prämolaren oder eines Milchmolaren
Fehlen eines unteren Prämolaren oder eines Milchmolaren







